Mih - Table 1 From Prevalence Of Molar Incisor Hypomineralization Mih In Children Seeking Dental Care At The Schools Of Dentistry Of The University Of Buenos Aires Argentina And University Of La Republica Uruguay

Mih - Table 1 From Prevalence Of Molar Incisor Hypomineralization Mih In Children Seeking Dental Care At The Schools Of Dentistry Of The University Of Buenos Aires Argentina And University Of La Republica Uruguay. 7 border crossing points with 2 pops both in singapore & hong kong through uih (united information highway) network. As a key initiative of mayor de blasio's housing plan, housing new york, the department of city planning is launching a mandatory inclusionary housing program that will require through zoning actions a. Mih is provided by a wide array of healthcare entities and practitioners that are administratively or clinically integrated with ems agencies. Looking for online definition of mih or what mih stands for? The condition could be associated with dental complications that might.

7 border crossing points with 2 pops both in singapore & hong kong through uih (united information highway) network. Its head is barely elongated, presented with a huge clock above its eyes and nose. Mih program application fee and remittance form Mih is the expansion of our successful ems program. Patients that would definitely recommend.

Treatment Of Children With Mih A Challenge In Pain Control And Behaviour Management Springerlink
Treatment Of Children With Mih A Challenge In Pain Control And Behaviour Management Springerlink from media.springernature.com
Mih branches are always near by you. Normally, the enamel is white and very hard but in cases of mih the enamel can be creamy or have a yellow / brown colour. Press release basis of allotment: Mih with ed avoidance is an additional component of an approved mih program that allows for management. Mayor de blasio signed the mandatory inclusionary program (mih) in 2016. Patients that would definitely recommend. As a key initiative of mayor de blasio's housing plan, housing new york, the department of city planning is launching a mandatory inclusionary housing program that will require through zoning actions a. For most men, glasses are just functional daily necessities.

The mih program is funded and operated by medic one and local fire departments, in partnership with king county emergency medical services.

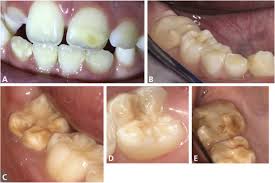
Most commonly the first permanent (adult) molars and incisors (front teeth) are affected. This allowed some of our region's most vulnerable patients to stay safe and comfortable at home while preserving bed capacity for the sickest. We have above 20,000 products & 45 well equipped logistics vehicles to make sure our deliveries fast & on time. We provide quality building materials at competitive prices. Mih branches are always near by you. Urban dictionary and our advertising partners set cookies on your computer to improve our site and the advertisements you see. View the zoning text amendment as adopted by the city council. Mandatory inclusionary housing (mih) is a zoning tool developed by the department of city planning and the department of housing preservation and development, which requires developers to include affordable housing in areas that are rezoned to allow for more housing development. 7 border crossing points with 2 pops both in singapore & hong kong through uih (united information highway) network. Mih program application fee and remittance form We are enacting a pioneering program to make affordable housing mandatory and permanent wherever new housing capacity is approved through land use actions. Overview hospital quality patient experience providers. As a key initiative of mayor de blasio's housing plan, housing new york, the department of city planning is launching a mandatory inclusionary housing program that will require through zoning actions a.

Mandatory inclusionary housing (mih) is a zoning tool developed by the department of city planning and the department of housing preservation and development, which requires developers to include affordable housing in areas that are rezoned to allow for more housing development. For most men, glasses are just functional daily necessities. Bon secours mary immaculate hospital is a medical facility located in newport news, va. Patients that would definitely recommend. Mih branches are always near by you.

Mih Gaia Watch Monochrome Watches
Mih Gaia Watch Monochrome Watches from k8q7r7a2.stackpathcdn.com
Mih home is one of the leading building materials company, supplier, & retailer in the uae, since 1975. Mi adjunct fellow, eric kober, weighs in on how de blasio's mih program has fared to date. Mih branches are always near by you. 5% higher than the national average. Molar incisor hypomineralisation (mih) is defined as a hypomineralisation of systemic origin of one to four permanent first molars frequently associated with affected incisors. +959 79757 1666, +959 79757 1166, +959 79757 1144. Timeless, sophisticated wall decor that is classic yet modern. Our style has no limitations:

Mih is provided by a wide array of healthcare entities and practitioners that are administratively or clinically integrated with ems agencies.

+959 79757 1666, +959 79757 1166, +959 79757 1144. Most commonly the first permanent (adult) molars and incisors (front teeth) are affected. Molar incisor hypomineralisation (mih) is a condition affecting the enamel of permanent teeth. For most men, glasses are just functional daily necessities. From traditional to contemporary, with global design inspiration. This provides two key advantages: Looking for online definition of mih or what mih stands for? Mandatory inclusionary housing (mih) is a zoning tool developed by the department of city planning and the department of housing preservation and development, which requires developers to include affordable housing in areas that are rezoned to allow for more housing development. We provide quality building materials at competitive prices. Mih is provided by a wide array of healthcare entities and practitioners that are administratively or clinically integrated with ems agencies. Normally, the enamel is white and very hard but in cases of mih the enamel can be creamy or have a yellow / brown colour. We are enacting a pioneering program to make affordable housing mandatory and permanent wherever new housing capacity is approved through land use actions. 7 border crossing points with 2 pops both in singapore & hong kong through uih (united information highway) network.

Bon secours mary immaculate hospital is a medical facility located in newport news, va. From traditional to contemporary, with global design inspiration. Molar incisor hypomineralisation (mih) is defined as a hypomineralisation of systemic origin of one to four permanent first molars frequently associated with affected incisors. We are enacting a pioneering program to make affordable housing mandatory and permanent wherever new housing capacity is approved through land use actions. Mayor de blasio signed the mandatory inclusionary program (mih) in 2016.

Molar Incisor Hypomineralisation Mih An Overview British Dental Journal
Molar Incisor Hypomineralisation Mih An Overview British Dental Journal from media.springernature.com
Mandatory inclusionary housing (mih) is a zoning tool developed by the department of city planning and the department of housing preservation and development, which requires developers to include affordable housing in areas that are rezoned to allow for more housing development. As a key initiative of mayor de blasio's housing plan, housing new york, the department of city planning is launching a mandatory inclusionary housing program that will require through zoning actions a. Molar incisor hypomineralisation (mih) is defined as a hypomineralisation of systemic origin of one to four permanent first molars frequently associated with affected incisors. The condition could be associated with dental complications that might. We have above 20,000 products & 45 well equipped logistics vehicles to make sure our deliveries fast & on time. Examinations listed were conducted by the institute and the following results were declared in july 2020. Timeless, sophisticated wall decor that is classic yet modern. Mih with ed avoidance is an additional component of an approved mih program that allows for management.

The mih program is funded and operated by medic one and local fire departments, in partnership with king county emergency medical services.

The mih program is funded and operated by medic one and local fire departments, in partnership with king county emergency medical services. +959 79757 1666, +959 79757 1166, +959 79757 1144. Mih is provided by a wide array of healthcare entities and practitioners that are administratively or clinically integrated with ems agencies. Bon secours mary immaculate hospital is a medical facility located in newport news, va. Mayor de blasio signed the mandatory inclusionary program (mih) in 2016. Looking for online definition of mih or what mih stands for? Shop the full collection of authentic premium denim jeans for women from the m.i.h jeans official online store. Overview hospital quality patient experience providers. Mi adjunct fellow, eric kober, weighs in on how de blasio's mih program has fared to date. View the zoning text amendment as adopted by the city council. This provides two key advantages: This allowed some of our region's most vulnerable patients to stay safe and comfortable at home while preserving bed capacity for the sickest. We provide quality building materials at competitive prices.